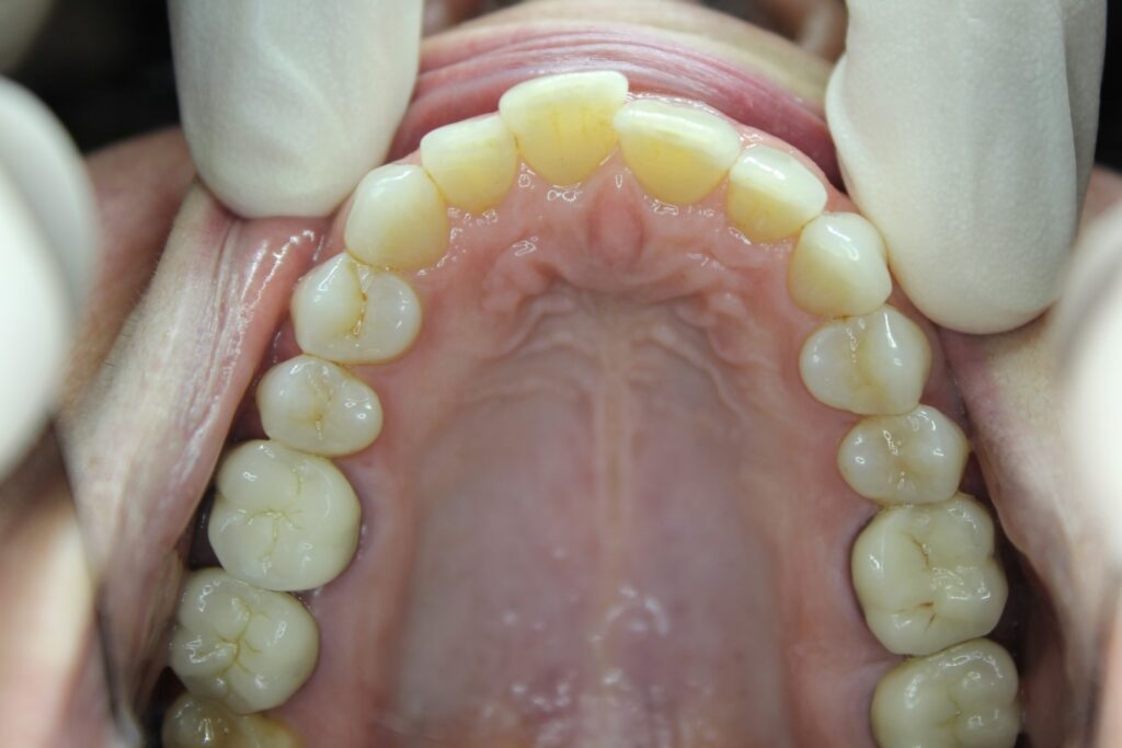
Crowded Teeth
Crowded Teeth: Causes, Symptoms & Treatment Options

What are Crowded Teeth?
Crowded teeth are misaligned teeth that overlap or twist due to lack of space. Teeth crowding cause dental problems like cavities, gum disease and jaw pain. In this article, you’ll learn about the symptoms, causes, and treatments for crowded teeth. Empower yourself to take get the smile you desire!
Are you struggling with crowded teeth, it’s time to take the first step towards a healthier, more confident smile.
Book an Invisalign Consultation with Dr. Benjamin Ahn, a VIP Diamond Invisalign provider, boasting over 20 years of experience in straightening teeth crowding with clear braces.
Key Takeaways
- Understanding Crowded Teeth: Crowded teeth are misaligned, overlapping, or twisted teeth due to insufficient space in the jaw.
- Causes of Dental Crowding: Factors contributing to crowded teeth include genetic predispositions, oral habits like thumb sucking, and structural issues such as a small jaw or narrow dental arch. The presence of extra teeth or improperly erupting wisdom teeth can also cause crowding.
- Symptoms and Complications: Crowded teeth can cause poor oral hygiene, jaw pain, premature wear of teeth, and low self-esteem. They are also linked to temporomandibular disorders (TMD), impacting jaw function and muscle activity.
- Types of Teeth Crowding: Dental crowding is categorized into mild, moderate, and severe crowding teeth based on the degree of space deficiency.
- Importance of Treating Crowded Teeth: Straightening crowded teeth is essential for preventing tooth decay, gum disease, and premature wear, as well as alleviating jaw strain and improving aesthetics especially in moderate to severe teeth crowding.
- Treatment Options: Available treatments for crowded teeth include traditional metal braces, ceramic braces, lingual braces, retainers, palatal expanders, and Invisalign aligners. Non-orthodontic treatments like dental veneers may address mild cases.
- Invisalign for Crowded Teeth: Invisalign offers a discreet way to correct mild to moderate crowding, with treatment typically lasting 6-18 months.
- Preventive Measures: Early orthodontic evaluation, monitoring oral habits, and regular dental check-ups can help prevent teeth crowding. Addressing these factors early can reduce the risk of dental crowding as children grow.
- Choosing the Right Provider: Selecting an experienced provider like Invisalign Dentist NYC ensures effective treatment for crowded teeth, utilizing advanced technology and comprehensive care for optimal results.
- Overall Impact: Achieving straight teeth not only enhances oral health but also boosts self-confidence and improves quality of life. Taking proactive steps can lead to a healthier, more attractive smile.
Understanding Teeth Crowding
Dental crowding, also known as teeth crowding, involves the misalignment of teeth due to them pushing against one another. This results in crooked or overlapping teeth that disrupt normal alignment and is a condition seen across all ages due to limited space within the mouth for proper tooth positioning.
By addressing dental crowding, individuals can avoid subsequent issues impacting both the appearance of their smile and functionality. Over time, crowded teeth can escalate into more serious oral health problems by hindering effective oral hygiene practices. Such neglect may elevate risks for conditions like tooth decay and gum disease.
In instances where severe cases manifest—with teeth positioned beyond the jawline indicating over 6mm of space deficiency—the consequences extend beyond aesthetics to physical discomforts and challenges with essential functions like biting and chewing food properly. Identifying the extent of this malocclusion is critical for selecting an appropriate treatment strategy.
The process of remedying dental crowding encompasses more than just aesthetic enhancement. It significantly contributes to bettering overall oral hygiene management while refining your smile’s visual appeal. The following discussion will delve into the causes behind dental crowding along with its signs, potential complications, and various solutions available for treatment.
What Causes Crowded Teeth?

Several factors can cause crowded teeth. The main reasons for dental crowding, which are characterized by misaligned and overlapping teeth, are genetic influences, oral practices, and the dimensions of the jaw along with the dental arch. It is crucial to identify these contributors in order to effectively prevent and treat dental crowding.
Genetics
Genetic predispositions, such as a family history of underdeveloped jaw bones or a narrow palate, often lead to dental crowding where teeth overlap or misalign due to insufficient space. This spatial deficiency is a common cause of tooth crowding. If your family has a history of crowded teeth, it’s likely that you might face similar issues due to genetics affecting jaw size and tooth alignment.
Identifying these genetic tendencies early enables individuals and dentists to take preventive measures and apply appropriate treatments to manage and correct crowded teeth.
Oral Habits
Early childhood habits like thumb sucking and extensive pacifier use can be a contributing factor to misaligned teeth. If such habits persist for too long, they may cause tooth misalignment by exerting undue pressure on the teeth and supporting structures and altering their alignment over time, increasing the likelihood of teeth crowding, open bite, or overbite. Early intervention aimed at eliminating these habits is crucial for decreasing the chances of teeth crowding and fostering improved oral health as the child matures.
Jaw and Dental Arch Size
Structural issues that interfere with correct tooth alignment may stem from a small jaw or a constricted dental arch. Teeth crowding occurs when the permanent teeth don’t have adequate space to align properly. Factors such as premature loss of baby teeth or permanent teeth can lead to teeth crowding. Proactive management through regular dental visits and prompt attention to initial signs of crowding can help control these structural issues effectively.
Presence of Extra Teeth
Crowded teeth could also arise from presence of supernumerary (extra) teeth occupying extra space within the jawline, which can result in overlapping teeth or overcrowded teeth.
Crowding due Wisdom Teeth
Wisdom tooth growing without sufficient space tends to push nearby teeth causing teeth crowding.
Dental Issues
Tooth loss or damage presents yet another scenario precipitating dental displacement whereby neighboring healthy specimens drift towards any vacated area(s), thus disrupting orderly configurations amongst themselves.
Understanding what causes teeth crowding is crucial for developing an effective treatment plan to fix crowded teeth . The following sections will explore different strategies used to correct these alignments, ranging from non-invasive options to comprehensive orthodontic interventions.
Crowded Teeth Symptoms & Side Effects
It’s essential to identify the symptoms of crowded teeth early on and comprehend the side effects, including health risks associated, as they can cause multiple problems impacting oral health and general wellness.
Individuals with crowded teeth are typically prone to encountering dental issues, like tooth decay and periodontal problems, more frequently than those whose teeth are well-spaced.
A common symptom of crowded and especially overcrowded teeth includes difficulty maintaining proper oral hygiene due to the challenge of cleaning between tightly packed or crooked teeth.
Patients with crowded teeth are typically prone to encountering dental issues, like tooth decay and periodontal problems, more frequently than those whose teeth are well-spaced.
Overcrowded teeth pain can manifest as discomfort or pain in the jaw since misaligned bites necessitate extra effort while chewing and speaking—potentially causing muscle tension and persistent discomfort, which could escalate into chronic pain in severe cases.
Crowded teeth can lead to premature wear of the teeth surfaces. Uneven pressure distribution caused by misaligned teeth, particularly very crooked teeth, can cause the enamel, protective outer layer of the teeth, to wear down more quickly than in straight teeth, with potential for cracks or fractures to develop over time.
Having teeth crowding or overcrowded teeth might adversely affect one’s self-esteem, causing reluctance to smile or socialize due to self-consciousness about misaligned crowded teeth.
Impact of Crowded Teeth on
Temporomandibular disorders (TMD)
Prevalence Studies
Research has shown a notable connection between overcrowded teeth and temporomandibular disorders (TMD). Manfredini et al. (2017) conducted a review of multiple studies, which highlighted higher rates of TMD symptoms in individuals with malocclusion, often resulting from overcrowded teeth.
Similarly, a study by Emodi-Perlman et al. (2016) focused on adolescents and discovered that those with dental crowding were more likely to exhibit signs of bruxism, particularly jaw clicking.
Occlusal Factors
The impact of bite alignment on jaw muscle activity was explored by Gonçalves et al. (2010). Their study demonstrated that misaligned teeth, often due to teeth crowding, can lead to abnormal muscle function, which may contribute to the development of TMD.

Types of Dental Crowding
Based on the degree of space deficiency in the dental arch, teeth crowding can be categorized as mild, moderate, or severe. These categories are crucial for identifying the suitable treatment method to address crowding.
Dental crowding occurs when there’s not enough space in your jaw to accommodate all your teeth properly. This results in teeth overlapping, rotating, or erupting in abnormal positions. Here’s a breakdown of the types of dental crowding:
Mild Teeth Crowding
Mild crowding is the least severe form of teeth crowding. It typically involves minor overlapping or slight rotations of one or a few teeth. It might not cause significant functional problems, but can still affect aesthetics. Mild crowding can be easily addressed with simple orthodontic interventions such as Invisalign or traditional braces. Invisalign treatment for mild teeth crowding typically lasts under 12 months.

Moderate Teeth Crowding
Moderate teeth crowding involves more noticeable overlapping and rotations, where teeth are visibly out of alignment, making it challenging to clean them properly. This condition heightens the risk of tooth decay and gum disease due to the difficulty in reaching all tooth surfaces during daily oral hygiene routines. Additionally, moderate teeth crowding can lead to misalignment of upper and lower teeth, which may cause discomfort while chewing and speaking, as well as contribute to premature wear of the teeth surfaces.
Read more…
The increased risk of dental issues associated with moderate teeth crowding necessitates timely intervention. Orthodontic treatments such as Invisalign or traditional braces are often recommended to correct the alignment and reduce the potential for oral health problems. Addressing moderate teeth crowding not only improves the aesthetic appearance of the smile but also ensures better functionality and ease of maintaining oral hygiene. Regular dental check-ups and professional cleanings play a crucial role in managing the complications arising from moderate crowding, helping to prevent long-term damage to the teeth and gums.

Severe Teeth Crowding
This is the most extreme form of crowded teeth. In severe crowding, teeth are not only severely overlapped, rotated, or impacted, but they may also be unable to erupt fully due to the lack of space. This extreme teeth crowding can lead to significant functional problems, such as difficulty chewing, speech impediments, and persistent jaw pain. The misalignment places excessive stress on the jaw muscles and joints, which can exacerbate discomfort and lead to temporomandibular joint disorders (TMD).
Read more…
Furthermore, severe teeth crowding greatly increases the risk of dental diseases. The crowded teeth create tight spaces that are challenging to clean, allowing plaque and bacteria to accumulate, which can result in tooth decay and periodontal disease. If left untreated, these conditions can lead to serious complications, including tooth loss and damage to the jaw bones.
Aesthetic concerns are usually significant with severe crowding, as the visible misalignment can affect one’s self-esteem and confidence, impacting social interactions and personal relationships. Addressing severe crowding often requires comprehensive orthodontic treatment, which in some cases may include the extraction of certain teeth to create the necessary space for realignment, followed by the use of braces or Invisalign to guide the remaining teeth into their proper positions.
In some cases, surgical interventions might be necessary to correct underlying skeletal discrepancies contributing to the crowding. These procedures can involve reshaping or repositioning the jaw to ensure proper alignment and functionality. The treatment plan for severe crowding is typically more complex and lengthy.

Specific Patterns of Dental Crowding
Anterior Crowding or Crowded Front Teeth
This affects the front teeth (incisors and canines), leading to a crowded and uneven smile. Anterior crowding is one of the most noticeable forms of dental crowding due to its impact on the visible portion of the smile. It can create significant aesthetic concerns, as well as functional issues, such as difficulty in biting and maintaining oral hygiene.
Posterior Crowding Or Crowded Back Teeth
This affects the back teeth (premolars and molars), which can disrupt the bite and make chewing difficult. Posterior crowding is often less noticeable than crowded front teeth but can have significant implications for oral health and function. Crowded back teeth can lead to improper bite alignment, which in turn causes uneven wear on the teeth. This can result in discomfort while eating and may even contribute to jaw pain or temporomandibular joint disorders (TMD) over time. Additionally, the crowded positioning of the molars and premolars makes it challenging to clean between these teeth, increasing the risk of tooth decay and gum disease. Read more …
Addressing posterior crowding is crucial not only for maintaining effective chewing function but also for preventing long-term dental issues. Orthodontic treatments such as braces or Invisalign can be employed to realign crowded back teeth, ensuring a balanced bite and improved oral hygiene.

Prevent Tooth Decay
Crowded teeth can lead to decay due to difficulty in cleaning tight spaces. Overlapping teeth trap plaque and bacteria, eroding enamel and causing cavities.
Prevent Gum Disease
Plaque buildup around crowded teeth can irritate gums, leading to periodontal disease. This can cause gum recession, tooth loss, and jaw bone damage. Fixing crowding helps prevent these issues.
Prevent Premature Wear
Correcting overcrowded teeth prevents premature wear and simplifies oral hygiene maintenance.
Crowded Teeth and TMD
Orthodontic treatment can alleviate TMD symptoms by correcting overcrowded teeth, though results vary. Addressing misalignment can reduce strain on jaw muscles.
Teeth Crowding Treatment Options

For mild to severe teeth crowding, orthodontic treatment is often the best way to fix crowded teeth. Options include traditional braces or clear aligners like Invisalign aligners, depending on the crowding’s extent and patient preferences.
Invisalign Clear Aligners
Invisalign uses custom-made clear aligners to gradually move teeth, ideal for mild to moderate crowding. Treatment usually lasts 6-18 months, and aligners must be worn 22 hours daily for best results.
Traditional Metal Braces
These are effective for serious overcrowding, using wires and brackets to gradually align teeth.
Ceramic Braces
Ceramic braces are less noticeable than metal braces and match the teeth’s color, though they require careful maintenance.
Lingual Braces
Placed behind the teeth, lingual braces are invisible but may cause initial discomfort.
Lingual Braces
Placed behind the teeth, lingual braces are invisible but may cause initial discomfort.
Retainers
Retainers help maintain teeth alignment after orthodontic treatment, preventing regression.
Palatal Expanders
These create space by expanding the upper jaw, especially useful for younger patients with developing jaws.
Dental Veneers
Dental veneers can cosmetically enhance mild cases of crowded teeth by covering minor misalignments.
Each method has distinct benefits and limitations, so it’s essential to choose based on individual dental needs. For more information on fixing crowded teeth, read our article “How to Fix Crowded Teeth” for a comprehensive guide on available treatments and solutions.
Summary
In conclusion, crowded teeth is a common but treatable condition that can significantly impact oral health and aesthetics. Understanding the causes, symptoms, and types of crowded teeth is the first step toward finding an effective treatment plan to fix crowded teeth.
Whether you opt for traditional braces, Invisalign, or other orthodontic treatments, early intervention and consistent post-treatment care are key to achieving and maintaining a healthy smile. Don’t let crowded teeth hold you back; seek professional advice and take the necessary steps to correct dental crowding.
A beautiful, healthy smile is within reach. Embrace the journey to better oral health and confidence today.
Book Your Invisalign Consultation Now!
Our orthodontic services include Invisalign for overbites, crossbites, underbites, and gaps for Adults and Teens, and palatal expanders for kids.
Why Choose Invisalign Dentist NYC for Treating Crowding?
Choosing the right provider for your Invisalign treatment is crucial for achieving optimal results in correcting crowded teeth. Invisalign Dentist NYC is a top choice for addressing dental crowding with clear aligners.
Dr. Benjamin Ahn, specializes in fixing crowded teeth using the latest Invisalign technology. With over 20 years of experience, Dr. Ahn has successfully treated more than 2,500 cases of dental misalignments, including crowded teeth. His expertise ensures that most cases achieve the desired results efficiently.
Most cases involving crowded teeth are completed in 6-18 months, with the support of a comprehensive 5-year protection plan. If you forget to wear your retainers and experience a relapse, we will restore your smile at no additional cost. Dr. Ahn’s consistent Diamond status for over a decade (one of only two doctors in New York City) highlights his commitment to delivering exceptional results for patients with crowded teeth, ensuring a healthier, more attractive smile for all.
Our clinic employs state-of-the-art 3D imaging technology to utilize clear custom Invisalign aligners specifically for crowded teeth without the need for metal brackets. This precision technology allows for accurate tooth movement and clear visualization of expected outcomes, ensuring effective treatment for crowded teeth without tooth extraction.
Our holistic approach encompasses routine check-ups and dental cleanings to maintain oral health during and after your orthodontic treatment. Dr. Ahn’s extensive expertise in general and cosmetic dentistry ensures all dental issues, including crowded teeth, are addressed under one roof.
Situated in Midtown Manhattan, our clinic is easily accessible, simplifying the process of attending regular appointments and consultations for Invisalign treatment.
We are open Mon-Saturday, with early morning & evening hours.
We offer flexible payment option: Insurance, CareCredit, Payment Plans, & more
We prioritize open communication, understanding each patient’s unique concerns and goals to tailor services for a comfortable and effective correction of your bite misalignment.
Crowded teeth: Before & After
Curious about the potential of clear aligners to straighten crowded teeth? Explore our before-and-after results for crowded teeth. These are genuine patient transformations.
The dramatic transitions of our patients have led to more aligned, healthier, and visually pleasing smiles. Our gallery serves as evidence of how effectively Dr. Ahn can treat even extremely crooked teeth along with various dental misalignment problems.
Frequently Asked Questions about Crowded Teeth
How to prevent teeth crowding?
Preventing crowded teeth begins with early orthodontic evaluation, ideally around the age of 7. This allows for the identification of potential issues with the underdeveloped upper or lower jaw that could lead to teeth crowding. Monitoring the development of baby teeth and their transition to adult teeth is crucial, as premature loss or retention of baby teeth can affect the alignment of incoming adult teeth.
Addressing habits like thumb sucking early on can prevent undue pressure on the front teeth, which might otherwise contribute to a narrow palate and subsequent teeth crowding. Early intervention in guiding children away from such habits helps in promoting natural jaw development, ensuring there is enough space for both baby teeth and the adult teeth that follow.
Additionally, educating parents about the importance of regular dental check-ups and monitoring their child’s oral development can play a vital role in preventing crowding issues. By understanding the potential impact of habits and taking proactive steps, parents can help their children maintain an attractive smile and avoid the complications associated with dental crowding.
Regular dental check-ups and Proactive orthodontic assessment is advised approximately at the age of 7, can help detect early signs of crowding, especially in the lower teeth and crowded front teeth, allowing for timely intervention. In some cases, orthodontic devices can guide the jaw’s development and create enough space for proper alignment, thereby preventing crowded teeth. Maintaining these proactive measures can significantly reduce the risk of teeth crowding as children grow into adulthood.
What are the main causes of crowded teeth?
The primary causes of crowded teeth are insufficient jaw space, hereditary factors, bad oral habits, premature loss of baby teeth, and the presence of extra teeth.
Addressing these factors early can help prevent or mitigate dental crowding.
Does Invisalign Work for Crowded Teeth?
Yes, Invisalign works for correcting crowded teeth. It uses clear aligners to gradually move teeth into their proper positions, making it suitable for mild to moderate cases of dental crowding. The treatment is discreet and comfortable, offering a flexible alternative to traditional braces.


