
Dr. Ahn, a leading Invisalign specialist, has been certified in Invisalign since 2003. With over two decades of experience, he has successfully treated more than 2,500 patients with various bite issues using Invisalign. His exceptional expertise is reflected in maintaining Diamond status for over a decade—a distinction shared by only one other doctor in NYC.
He earned his Bachelor of Science from the University of Toronto and his Doctor of Dental Surgery from New York University, followed by a general practice residency at Lutheran Medical Center.
Dr. Benjamin Ahn is widely recognized for his outstanding expertise in both general and cosmetic dentistry, with a particular emphasis on smile correction using Invisalign. His dedication to innovation and excellent patient care has earned him a stellar reputation among patients and colleagues alike, making him a distinguished dentist in New York City.
Dr. Ahn’s commitment to top-notch care is underscored by his recognition as a Diamond Invisalign provider, placing him in the top 1% of Invisalign providers in the USA and highlighting his expertise in creating beautiful smiles.
Ready to take the first step towards your Dream Smile?
Schedule Your Consultation Today!
Dr. Benjamin Ahn started his educational journey at the University of Toronto, earning a Bachelor’s of Science degree, which laid a solid foundation for his future achievements in dentistry. After his undergraduate studies, Dr. Benjamin Ahn earned his Doctor of Dental Surgery degree from New York University, a rigorous program that equipped him with essential skills and knowledge for his successful career in dentistry.
Dr. Ahn’s professional experience matches his impressive educational background. Completing a general practice residency at Lutheran Medical Center, he gained hands-on experience and a deep understanding of patient care.
In 2003, Dr. Ahn received his Invisalign certification, marking the beginning of his journey as an Invisalign specialist. He has maintained his Diamond Invisalign Provider status for over a decade, a testament to his dedication and expertise in orthodontic care.
As a leading Invisalign provider in New York City, Dr. Ahn’s extensive expertise and use of cutting-edge equipment ensure the highest quality care. His dedication to staying updated with the latest dental technology underscores his commitment to excellence.
Dr. Ahn’s expertise and dedication have earned him recognition as a Diamond Invisalign Provider, placing him among the top 1% of Invisalign providers in the USA and highlighting his exceptional skills in dentistry. DR. Ahn was a runner up in Invisalign Summit for completing one of the most complex Invisalign cases.
Beyond his professional achievements, Dr. Ahn’s outstanding community work has earned him accolades locally and globally, showcasing his commitment to improving dental health and giving back to the community. Dr. Ahn received the Bank of America “Neighborhood Builders” award for his exceptional contributions to the community. This recognition highlights the positive impact he has made!
Dr. Ahn’s maintains active memberships in prestigious organizations like the Academy of General Dentistry, American Dental Association, and the New York Dental Second District Society enhance his professional standards, demonstrating his commitment to dentistry.
Remaining informed about the latest developments in dentistry is essential for delivering top-quality care. Dr. Ahn’s commitment to continuous learning ensures he stays at the cutting edge of dental advancements, providing innovative treatments to his patients.
Dedicated to mastering new approaches, Dr. Ahn actively engages in continuing education programs, workshops, and seminars, keeping abreast of the latest dental technologies, and treatment techniques to offer the best possible care.
By focusing on new treatment methodologies, Dr. Ahn constantly enhances his practice, ensuring his patients benefit from the most advanced and effective dental treatments available.
Dr. Benjamin Ahn and his dental practice offers a comprehensive range of dental services that cater to various patient needs, from general dentistry to cosmetic procedures.
Equipped with state-of-the-art technology like digital x-rays, CT scans, and dental lasers, Dr. Ahn’s NYC dental office delivers precise and effective treatments.
His multi specialty dental practice caters to both routine dental exams and specialized services. Dr. Ahn’s main specialty is correcting various bite issues with Invisalign clear aligners.
As an Invisalign specialist, Dr. Benjamin Ahn provides a comprehensive range of Invisalign services tailored to address various orthodontic issues, ensuring each patient can achieve a confident and beautiful smile.
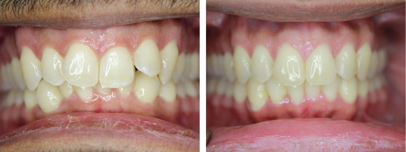
For patients with gaps between their teeth, Invisalign aligners gradually close these spaces, resulting in a more uniform and aesthetically pleasing smile.
In cases of crowded teeth, Invisalign aligners work to gently shift teeth into their ideal positions, creating a harmonious alignment and improving oral health.
Open bites can be corrected with Invisalign, which helps bring the upper and lower teeth together for a proper bite closure.
Invisalign effectively corrects overbites by aligning the teeth and jaw, enhancing both function and appearance.
For underbites, Invisalign aligners help reposition the lower teeth and jaw, promoting a balanced bite and improved facial symmetry.
Invisalign aligners are an effective solution for correcting malocclusion, gently guiding teeth into their proper positions for a healthier and more aesthetically pleasing smile.
For patients requiring palatal expansion, Invisalign can be used in conjunction with palatal expanders to widen the upper jaw, creating space and improving bite alignment.
After orthodontic treatment, retainers are essential to maintaining the new alignment of your teeth, ensuring long-lasting results.
For a complete list of the services offered by 209 NYC Dental please click here:
COMPLETE LIST OF DENTAL SERVICES
When it comes to your smile, experience and expertise matter. At our practice, you’ll be under the care of experienced general dentists – Dr. Benjamin Ahn, a distinguished Diamond Invisalign provider. This prestigious recognition reflects his extensive experience and successful track record in treating patients with Invisalign.
![]()
2500+
From Gaps, to Crowded Teeth, Open bite, Underbite & Anything in between!
![]()
10+ Years
Maintaining Diamond Status –
1 of Only 2 NYC Doctors
20+ Years
Transforming Smiles with Invisalign
![]()
6-18 Months
Achieve Your Dream Smile
![]()
We Treat People, not Just Teeth!
We want you to have the best experience during your treatment!
![]()
Midtown East Manhattan
Near Grand Central and 34th Street
+ Early Morning, Evening & Saturday Hours
![]()
iTero
We use 3D imaging technology to create digital models for your Invisalign aligners.

Dr. Benjamin Ahn is a Top 1% Invisalign doctor in the USA, proudly holding a prestigious Diamond Invisalign Provider Status, showcasing his expertise in providing exceptional care. You can trust you’re in great hands with him!
The initial consultation fee for Invisalign is just $50, making it an accessible step towards your smile transformation! We don’t stop there, we will credit $50 towards your Invisalign treatment when you start it.
Dr. Benjamin Ahn He has been practicing Invisalign for over 20 years, showcasing extensive experience in providing exceptional care. He received his Invisalign certification in 2003. You’re in great hands!
Dr. Ahn utilizes iTero digital scanning for accurate 3D imaging, ensuring a customized and effective approach to your smile transformation with Invisalign braces. It’s an exciting way to enhance your dental experience!
With over 100s reviews from all over the web with an average rating of 4.9 we are proud to be in the New York Dental Elite.